Bệnh teo đa hệ thống (Multiple System Atrophy - MSA) là một tình trạng hiếm gặp của hệ thần kinh gây tổn thương dần dần cho các tế bào thần kinh ở não. Điều này ảnh hưởng đến sự cân bằng, khả năng di chuyển và hệ thần kinh tự chủ bị thay đổi, có thể dẫn đến khó thở, tiêu hóa và kiểm soát bàng quang.
Tìm hiểu chung bệnh teo đa hệ thống
Bệnh teo đa hệ thống là một chứng rối loạn thần kinh thoái hóa hiếm gặp, ảnh hưởng đến các chức năng không tự chủ của cơ thể, bao gồm huyết áp và kiểm soát vận động.
Bệnh teo đa hệ thống trước đây được gọi là hội chứng Shy-Drager, olivopontocerebellar atrophy hoặc thoái hóa thể vân. Bệnh teo đa hệ thống có nhiều triệu chứng giống bệnh Parkinson, chẳng hạn như cử động chậm, cơ bắp cứng và khả năng giữ thăng bằng kém. Điều trị bao gồm dùng thuốc và thay đổi lối sống để giúp kiểm soát các triệu chứng, nhưng không có cách chữa trị khỏi hoàn toàn. Bệnh sẽ tiến triển dần dần nặng hơn và cuối cùng dẫn đến tử vong.
Triệu chứng bệnh teo đa hệ thống
Những dấu hiệu và triệu chứng của bệnh teo đa hệ thống
Các triệu chứng của bệnh teo đa hệ thống khá đa dạng, liên quan đến nhiều cơ quan. Nhiều chức năng khác nhau của cơ thể có thể bị ảnh hưởng, bao gồm hệ tiết niệu, tim mạch - mạch máu, vấn đề về phối hợp, cân bằng, lời nói và hệ cơ xương khớp.
Hệ tiết niệu
- Đi tiểu nhiều lần hơn bình thường;
- Bàng quang bị mất kiểm soát, tiêu tiểu không tự chủ;
- Rối loạn cương dương (ở nam giới). Đàn ông mắc bệnh teo đa hệ thống thường sẽ bị rối loạn chức năng cương dương (không có khả năng đạt được và duy trì sự cương cứng).
Hệ tim mạch - mạch máu
Hạ huyết áp tư thế: Bệnh nhân teo đa hệ thống thường cảm thấy choáng váng, chóng mặt và ngất xỉu sau khi đứng lên. Điều này được gọi là hạ huyết áp tư thế và xảy ra do huyết áp giảm khi bạn đứng lên hoặc thay đổi tư thế đột ngột.
Các vấn đề về phối hợp, cân bằng và lời nói
Trong teo đa hệ thống, tiểu não bị tổn thương khiến người bệnh trở nên vụng về, không vững khi đi lại và cũng có thể gây ra tình trạng nói ngọng, lắp bắp. Những vấn đề này gọi là mất điều hòa tiểu não.
Chuyển động chậm và cảm giác cứng cơ
Người bị teo đa hệ thống có chuyển động chậm hơn nhiều so với bình thường (bradykinesia). Điều này gây khó khăn cho việc thực hiện các hoạt động hàng ngày. Người bệnh sẽ trở nên chậm chạp, khó khăn khi bắt đầu di chuyển, lê bước chân và bước đi rất nhỏ. Một số người cũng có thể bị cứng cơ, chuột rút đau cơ (loạn trương lực cơ).
Các dấu hiệu và triệu chứng khác
Những người bị teo đa hệ thống cũng có thể có:
- Đau vai, đau cổ;
- Táo bón;
- Tay chân lạnh;
- Dễ toát mồ hôi;
- Yếu cơ ở cơ thể và tay chân;
- Rối loạn cảm xúc, khóc hoặc cười không kiểm soát;
- Rối loạn giấc ngủ, ngủ ngáy, cảm giác bồn chồn hoặc ác mộng;
- Vấn đề nuốt, phát âm;
- Mờ mắt;
- Trầm cảm;
- Mất trí nhớ.

Người bị teo đa hệ thống có thể có dấu hiệu trầm cảm
Biến chứng của bệnh teo đa hệ thống
Sự tiến triển của bệnh teo đa hệ thống khác nhau ở từng người nhưng tình trạng này sẽ trở nên nghiêm trọng hơn theo thời gian. Các biến chứng có thể xảy ra bao gồm:
- Khó nuốt;
- Vấn đề về hô hấp khi ngủ như ngưng thở khi ngủ, ngủ ngáy;
- Chấn thương do té ngã do mất thăng bằng hoặc ngất xỉu;
- Mất khả năng tự chăm sóc bản thân trong các hoạt động hàng ngày;
- Liệt dây thanh âm, gây khó nói và khó thở;
- Tử vong thường do các vấn đề về hô hấp, nhiễm trùng hoặc máu đông trong phổi (thuyên tắc phổi).
Khi nào cần gặp bác sĩ?
Nếu có bất kỳ triệu chứng nào nêu trên xảy ra, bạn nên liên hệ ngay với bác sĩ để được kiểm tra và tư vấn. Chẩn đoán và điều trị sớm sẽ giảm nguy cơ tăng nặng của bệnh và giúp bạn mau chóng hồi phục sức khỏe.
Nguyên nhân bệnh teo đa hệ thống
Nguyên nhân dẫn đến bệnh teo đa hệ thống
Nguyên nhân của bệnh teo đa hệ thống chưa được hiểu rõ, vẫn chưa có bằng chứng cho thấy bệnh teo đa hệ thống có liên quan đến di truyền.
Các tế bào não của người bị teo đa hệ thống có chứa một loại protein gọi là alpha-synuclein. Sự tích tụ alpha-synuclein bất thường được cho là nguyên nhân gây tổn thương các vùng não kiểm soát sự cân bằng, chuyển động và các chức năng bình thường của cơ thể.
Nguy cơ bệnh teo đa hệ thống
Những ai có nguy cơ mắc phải bệnh teo đa hệ thống?
Các triệu chứng của bệnh teo đa hệ thống thường bắt đầu ở độ tuổi từ 50 đến 60 tuổi.
Chưa có đối tượng cụ thể nào được coi là có nguy cơ mắc phải bệnh. Tuy nhiên, các nghiên cứu về di truyền trên bệnh nhân mắc phải teo đa hệ thống cho thấy có sự hiện diện của di truyền trội hoặc lặn trên nhiễm sắc thể thường. Các đột biến gen coenzyme Q2 đã được phát hiện ở bệnh nhân teo đa hệ thống.
Một số yếu tố làm tăng nguy cơ mắc phải teo đa hệ thống
Một số yếu tố có liên quan đến môi trường như nghề nghiệp phải tiếp xúc với nhựa, kim loại, thuốc trừ sâu và dung môi hữu cơ được mô tả trên bệnh nhân teo đa hệ thống. Tuy nhiên, hiện chưa có bằng chứng nào cho thấy mối liên hệ giữa bệnh và các yếu tố này.
Bên cạnh đó, người ta cũng nhận thấy mối liên quan giữa các biến thể gen MATP, SNCA và tăng nguy cơ mắc bệnh teo đa hệ thống. Gen GBA và gen LRRK2 có liên quan đến bệnh Parkinson cũng đã được phát hiện ở bệnh nhân teo đa hệ thống.

Gen GBA và gen LRRK2 có liên quan đến bệnh Parkinson cũng đã được phát hiện ở bệnh nhân teo đa hệ thống
Phương pháp chẩn đoán & điều trị bệnh teo đa hệ thống
Phương pháp xét nghiệm và chẩn đoán bệnh teo đa hệ thống
Hiện nay chưa có xét nghiệm cụ thể để chẩn đoán bệnh teo đa hệ thống. Chẩn đoán thường có thể được thực hiện dựa trên các triệu chứng, tuy nhiên các triêu chứng này có thể bị nhầm lẫn với bệnh Parkinson, do đó cần phải đánh giá xem người bệnh mắc bệnh teo đa hệ thống hay bệnh Parkinson trước khi bắt đầu điều trị. Một người có nhiều khả năng mắc bệnh teo đa hệ thống hơn là bệnh Parkinson nếu:
- Các triệu chứng tiến triển nhanh;
- Không đáp ứng với thuốc levodopa (là thuốc điều trị bệnh Parkinson);
- Nói ngọng, nói lắp bắp;
- Khó thở.
Nếu nghi ngờ bệnh teo đa hệ thống, bác sĩ chuyên khoa thần kinh sẽ kiểm tra phản xạ và các chức năng bình thường của cơ thể, chẳng hạn như chức năng bàng quang và huyết áp.
Một số phương pháp khác:
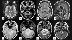
- Chụp cộng hưởng từ (MRI): Có thể cho thấy bất thường ở vùng não.
- Xét nghiệm di truyền: Có thể cho biết liệu một người có đột biến làm thay đổi cách cơ thể họ xử lý α-synuclein hay không.
- Sinh thiết da: Có thể phát hiện các dấu hiệu tích tụ α-synuclein trong mô thần kinh. Tuy nhiên, cần có nhiều nghiên cứu hơn trước khi các nhà khoa học xác định liệu nó có đủ hữu ích để khuyến nghị biến nó thành một phần tiêu chuẩn của quá trình chẩn đoán hay không.

Chụp MRI có thể cho thấy bất thường ở vùng não khi bị teo đa hệ thống
Phương pháp điều trị bệnh teo đa hệ thống hiệu quả
Hiện tại không có cách chữa trị bệnh teo đa hệ thống và chưa có cách nào làm chậm sự tiến triển của bệnh. Những người mắc bệnh này thường sống được từ 6 đến 9 năm sau khi có triệu chứng và nhanh chóng trở nên nghiêm trọng hơn. Một số người có thể sống hơn 10 năm sau khi được chẩn đoán.
Điều trị triệu chứng giúp kiểm soát và hỗ trợ người bệnh tốt hơn, bao gồm:
- Sử dụng thuốc làm tăng huyết áp trong trường hợp người bệnh bị hạ huyết áp nặng: Corticosteroid có thể làm tăng huyết áp bằng cách giúp cơ thể giữ lại nhiều muối và nước hơn. Thuốc pyridostigmine có thể làm tăng huyết áp khi đứng mà không làm tăng huyết áp khi bạn đang nằm. Midodrine có thể làm tăng huyết áp của bạn một cách nhanh chóng; tuy nhiên, nó cần phải được dùng cẩn thận vì nó có thể làm tăng áp lực khi nằm. FDA đã phê duyệt droxidopa để điều trị hạ huyết áp thế đứng. Các tác dụng phụ thường gặp nhất của droxidopa bao gồm nhức đầu, chóng mặt và buồn nôn.
- Thuốc làm giảm các dấu hiệu và triệu chứng giống bệnh Parkinson: Một số loại thuốc dùng để điều trị bệnh Parkinson, chẳng hạn như levodopa kết hợp carbidopa, có thể được sử dụng để làm giảm các dấu hiệu và triệu chứng giống bệnh Parkinson, chẳng hạn như cứng khớp, các vấn đề về thăng bằng và chậm vận động. Những loại thuốc này cũng có thể cải thiện sức khỏe tổng thể, tuy nhiên không phải ai bị teo đa hệ thống cũng phản ứng với thuốc điều trị bệnh Parkinson. Chúng cũng có thể trở nên kém hiệu quả hơn sau một vài năm.
- Thuốc điều trị rối loạn cương dương: Chẳng hạn như sildenafil, những loại thuốc này có thể làm giảm huyết áp.
- Cải thiện chứng khó nuốt và khó thở: Nếu gặp khó khăn khi nuốt, hãy ăn những thực phẩm mềm, dễ nuốt. Nếu việc nuốt hoặc thở ngày càng trở nên khó khăn, nên liên hệ các cơ sở y tế để được hỗ trợ bằng thiết bị dụng cụ phù hợp như ống thở, ống thông dạ dày.
- Nếu bạn đang gặp vấn đề về kiểm soát bàng quang: Mức độ nhẹ có thể dùng thuốc, tuy nhiên bệnh tiến triển nặng cần phải đặt ống dẫn lưu nước tiểu.
- Vật lý trị liệu: Có thể giúp những người mắc bệnh teo đa hệ thống duy trì khả năng vận động và duy trì thể lực cũng như sức mạnh cơ bắp.

Một số loại thuốc có thể được chỉ định để điều trị các triệu chứng của bệnh teo đa hệ thống
Chế độ sinh hoạt & phòng ngừa bệnh teo đa hệ thống
Những thói quen sinh hoạt có thể giúp bạn hạn chế diễn tiến của bệnh teo đa hệ thống
Chế độ sinh hoạt:
- Theo dõi và kiểm soát huyết áp thường xuyên, một số gợi ý như: Chế độ ăn có muối (lượng muối phù hợp tham khảo ý kiến bác sĩ điều trị), uống nhiều nước hơn, đặc biệt là trước khi tập thể dục vì muối và nước có thể làm tăng thể tích máu và tăng huyết áp. Uống cà phê hoặc thực phẩm chứa caffein khác để tăng huyết áp.
- Nằm kê đầu cao khi ngủ. Thay đổi tư thế từ từ thay vì đột ngột để phòng ngừa hạ huyết áp thế đứng.
- Tránh bị quá nóng. Tránh để nhiệt độ quá cao trong phòng tắm khi tắm vì nhiệt độ cao sẽ làm giãn mạch máu, dễ hạ huyết áp hơn.
Chế độ dinh dưỡng:
- Chế độ muối trong bữa ăn nên tham khảo ý kiến của bác sĩ điều trị.
- Thực hiện thay đổi chế độ ăn uống. Bổ sung thêm chất xơ vào chế độ ăn uống để giảm táo bón.
- Ăn nhiều bữa nhỏ, ít carbohydrate.
Phương pháp phòng ngừa bệnh teo đa hệ thống hiệu quả
Hiện chưa rõ có những yếu tố nào góp phần gây ra bệnh teo đa hệ thống hay không. Do đó, không thể ngăn chặn hoặc giảm nguy cơ phát triển nó.