Thoái hóa chất trắng là tổn thương chất trắng trong não do lưu lượng máu đến mô não giảm. Nó có thể gây ra các vấn đề về trí nhớ, sự cân bằng và khả năng di chuyển.
Tìm hiểu chung thoái hóa chất trắng
Thoái hóa chất trắng là gì?
Chất trắng được tìm thấy khắp hệ thống thần kinh trung ương, nhưng phần lớn nằm ở bên trong não và tủy sống. Chất trắng được tạo thành từ một mạng lưới lớn các sợi thần kinh (sợi trục) trong não cho phép trao đổi thông tin và liên lạc giữa các vùng khác nhau trong não. Nó được gọi là “chất trắng” vì các sợi thần kinh được bao phủ trong một lớp vỏ bảo vệ gọi là myelin, giúp mô có màu trắng.
Để chất trắng của bạn hoạt động tốt, nó cần lưu lượng máu và chất dinh dưỡng tốt. Giảm lưu lượng máu (thiếu máu cục bộ) và chất dinh dưỡng đến chất trắng có thể gây tổn thương các sợi thần kinh (sợi trục) dẫn đến tình trạng sưng, gãy và mất hoàn toàn các sợi thần kinh. Giống như bãi cỏ có thể trông không khỏe mạnh nếu không được tưới nước và cung cấp chất dinh dưỡng (ánh sáng mặt trời và phân bón), não của bạn có thể bị tổn thương do lưu lượng máu kém và chế độ ăn uống không lành mạnh.
Bệnh thoái hóa chất trắng là một rối loạn tiến triển nặng dần, chủ yếu ảnh hưởng đến não và tủy sống (hệ thần kinh trung ương). Rối loạn này gây ra sự suy giảm chất trắng của hệ thần kinh trung ương. Bệnh thoái hóa chất trắng thường do các tổn thương mạch máu nhỏ. Tuy nhiên, cũng có rất nhiều nguyên nhân khác như di truyền, chấn thương, lão hóa, bệnh lý chuyển hóa,... Sự gia tăng tổn thương chất trắng trong hệ thần kinh làm tăng nguy cơ đột quỵ, suy giảm nhận thức, trầm cảm, khuyết tật và tử vong trong dân số.
Các tổn thương chất trắng có thể được nhìn thấy bằng chụp cộng hưởng từ (MRI) với hình ảnh những điểm sáng trong não của bạn. Một số tổn thương chất trắng nếu nhỏ có thể không gây ra triệu chứng đáng chú ý. Nếu nhiều tổn thương chất trắng hơn sẽ biểu hiện nhiều triệu chứng hơn.
Bệnh thoái hóa chất trắng có thể ảnh hưởng đến bất kỳ ai, nhưng phổ biến hơn ở những người từ 60 tuổi trở lên và những người mắc bệnh tim mạch.
Triệu chứng thoái hóa chất trắng
Những dấu hiệu và triệu chứng của thoái hóa chất trắng
Ở một số người, thoái hóa chất trắng có thể không gây ra triệu chứng. Nếu tổn thương chất trắng nhiều có thể gây ra các dấu hiệu và triệu chứng gồm:
- Vấn đề về trí nhớ;
- Đi bộ chậm;
- Vấn đề về thăng bằng và té ngã thường xuyên;
- Khó thực hiện hai hoặc nhiều hoạt động cùng một lúc, chẳng hạn như đi bộ và nói chuyện cùng một lúc;
- Thay đổi tâm trạng, chẳng hạn như trầm cảm;
- Tiểu không tự chủ.

Người bị thoái hóa chất trắng gặp vấn đề về thăng bằng và dễ té ngã
Khi nào cần gặp bác sĩ?
Khi bạn có bất kỳ triệu chứng nào của thoái hóa chất trắng, đặc biệt là các triệu chứng khó khăn trong đi lại, sinh hoạt hoặc trí nhớ giảm sút bất thường. Hãy đến gặp bác sĩ để được thăm khám và chẩn đoán chính xác. Bác sĩ cũng sẽ hướng dẫn bạn và người thân của bạn cách phòng ngừa mắc bệnh hoặc ngăn ngừa bệnh tiến triển nặng hơn.
Nguyên nhân thoái hóa chất trắng
Nguyên nhân dẫn đến thoái hóa chất trắng
Nguyên nhân thoái hóa chất trắng có thể chia ra thành 2 nhóm chính bao gồm nguyên nhân mạch máu và không mạch máu.
Nguyên nhân mạch máu bao gồm:
- Xơ vữa động mạch;
- Bệnh lý mạch máu amyloid;
- Viêm mạch;
- Hội chứng Susac.
Nguyên nhân không liên quan đến mạch máu gây ra thoái hóa chất trắng bao gồm:
- Viêm: Bệnh đa xơ cứng (MS), viêm não tủy lan tỏa cấp tính, viêm tủy thị thần kinh.
- Truyền nhiễm: Bệnh não HIV, bệnh não chất trắng đa ổ tiến triển, viêm não HSV và CMV, giang mai thần kinh, nhiễm trùng cryptococcal, bệnh Whipple, bệnh não Lyme, viêm não xơ cứng bán cấp.
- Độc chất: Lạm dụng rượu mãn tính, nhiễm độc carbon monoxide (CO), hít phải toluene, heroin và cocaine, bệnh não chất trắng liên quan đến methotrexate.
- Chuyển hóa: Thiếu vitamin B12, thiếu đồng, rối loạn chuyển hóa porphyrin cấp tính từng đợt, bệnh não gan, bệnh não Hashimoto.
- Khối u: U nguyên bào thần kinh đệm, Ung thư hạch thần kinh trung ương;
- Chấn thương: Xạ trị, sau chấn thương;
- Di truyền: Đột biến ở các gen EIF2B1, EIF2B2, EIF2B3, EIF2B4 và EIF2B5 gây ra bệnh thoái hóa chất trắng.

Xơ vữa động mạch là nguyên nhân thường gặp gây thoái hóa chất trắng
Nguy cơ thoái hóa chất trắng
Những ai có nguy cơ mắc thoái hóa chất trắng
Bệnh thoái hóa chất trắng có thể ảnh hưởng đến bất kỳ ai, nhưng phổ biến hơn ở những người từ 60 tuổi trở lên và những người mắc bệnh tim mạch.
Yếu tố làm tăng nguy cơ mắc phải thoái hóa chất trắng
Các yếu tố làm tăng nguy cơ mắc thoái hóa chất trắng bao gồm:
- Lạm dụng rượu;
- Hút thuốc lá;
- Sử dụng ma túy;
- Chấn thương đầu;
- Cao huyết áp;
- Đái tháo đường;
- Gia đình có người thân mắc thoái hóa chất trắng;
- Suy dinh dưỡng.
Phương pháp chẩn đoán & điều trị thoái hóa chất trắng
Phương pháp xét nghiệm và chẩn đoán thoái hóa chất trắng
Bác sĩ sẽ hỏi tiền sử mắc bệnh của bạn và người thân trong gia đình bạn kết hợp với khám sức khỏe tổng quát đặc biệt là khám thần kinh để phát hiện ra các dấu hiệu bất thường. Bác sĩ sẽ chỉ định các xét nghiệm giúp chẩn đoán chính xác thoái hóa chất trắng, loại trừ các nguyên nhân nguy hiểm và đưa ra chiến lược điều trị phù hợp. Các xét nghiệm thường được chỉ định bao gồm:
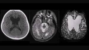
Chụp cộng hưởng từ (MRI): Chụp MRI giúp bác sĩ nhìn thấy mức độ tổn thương chất trắng trong não của bạn và phát hiện các bất thường khác nếu có như khối u, xuất huyết não, nhồi máu não.
Chụp cắt lớp vi tính (CT scan): Nếu như cơ sở y tế không đủ thiết bị chụp MRI, bác sĩ có thể chỉ định chụp CT. Tuy nhiên, MRI có chất lượng hình ảnh và độ nhạy tốt nhất để chẩn đoán bệnh thoái hóa chất trắng.
Vì bệnh thoái hóa chất trắng có thể liên quan đến các yếu tố nguy cơ tim mạch. Do đó, bác sĩ có thể chỉ định thêm một số xét nghiệm như:
- Xét nghiệm lipid máu.
- Xét nghiệm đường huyết.
- Xét nghiệm HbA1c.

Chụp MRI có thể giúp bác sĩ chẩn đoán thoái hóa chất trắng
Phương pháp điều trị thoái hóa chất trắng
Bác sĩ tập trung điều trị bệnh thoái hóa chất trắng vào việc kiểm soát các triệu chứng và các yếu tố nguy cơ liên quan đến bệnh tim mạch. Không có phương pháp điều trị nào để sửa chữa chất trắng đã bị tổn hại.
Điều trị các vấn đề sức khỏe tiềm ẩn như huyết áp cao, tiểu đường và cholesterol máu cao cũng như bỏ hút thuốc có thể giúp ngăn ngừa hình thành nhiều tổn thương chất trắng hơn.
Điều trị triệu chứng bệnh thoái hóa chất trắng
- Vật lý trị liệu có thể giúp giải quyết các vấn đề về thăng bằng và đi lại do bệnh gây ra, bao gồm giáo dục và trị liệu để ngăn ngừa té ngã.
- Gặp bác sĩ tâm lý để trao đổi về các vấn đề liên quan đến tâm trạng chán nản và gặp bác sĩ tâm thần để kê đơn các loại thuốc như thuốc chống trầm cảm có thể giúp giảm các triệu chứng trầm cảm.
- Có một số phương pháp điều trị để kiểm soát tình trạng tiểu không tự chủ, bao gồm dùng thuốc, thay đổi lối sống và các thủ thuật.
Quản lý các yếu tố nguy cơ bệnh tim mạch
Kiểm soát các yếu tố nguy cơ liên quan đến bệnh tim mạch có thể giúp làm chậm sự tiến triển và giúp ngăn ngừa các tình trạng tim mạch đe dọa tính mạng như đột quỵ xuất huyết hoặc nhồi máu não.
Các phương pháp điều trị có thể giúp kiểm soát các yếu tố nguy cơ bệnh tim mạch bao gồm:
- Thuốc và thay đổi lối sống để duy trì huyết áp khỏe mạnh.
- Quản lý bệnh tiểu đường (nếu bạn mắc bệnh tiểu đường).
- Quản lý mức cholesterol bằng thuốc và thay đổi lối sống.
- Thường xuyên tập thể dục.
- Tránh hút thuốc.
- Tránh uống rượu.
- Thuốc chống kết tập tiểu cầu (một nhóm thuốc ngăn chặn các tế bào máu dính lại với nhau và hình thành cục máu đông).
- Statin (những chất này có thể giúp giảm viêm trong mạch máu ngay cả khi cholesterol của bạn ở mức bình thường).
Chế độ sinh hoạt & phòng ngừa thoái hóa chất trắng
Những thói quen sinh hoạt có thể giúp bạn hạn chế diễn tiến của thoái hóa chất trắng
Chế độ sinh hoạt:
- Uống nhiều nước ít nhất 2 lít nước/ngày;
- Bỏ thuốc lá, rượu bia;
- Duy trì cân nặng khỏe mạnh;
- Hạn chế căng thẳng tinh thần;
- Tập thể dục ít nhất 30 - 40 phút mỗi ngày;
- Làm việc, nghỉ ngơi hợp lý.
Chế độ dinh dưỡng:
Một số thực phẩm giúp bạn có một bộ não khỏe mạnh bao gồm:
- Ngũ cốc nguyên hạt như yến mạch, hạt chia, hạt óc chó;
- Sử dụng dầu oliu, dầu đậu nành thay vì dầu động vật;
- Thực phẩm bổ sung omega-3 như cá trích, cá thu, cá mòi, cá ba sa, cá hồi;
- Trái cây và rau quả có màu sẫm, chẳng hạn như rau bina, cải xoăn, quả việt quất và dâu tây.
Một số thực phẩm bạn nên hạn chế sử dụng bao gồm:
- Ăn nhạt, không dùng quá 5g muối trong ngày;
- Tránh đồ ăn và đồ uống có đường;
- Tránh đồ uống chứa cà phê;
- Hạn chế ăn thực phẩm chế biến sẵn;
Hãy liên hệ với chuyên gia dinh dưỡng để được hướng dẫn chế độ dinh dưỡng phù hợp với tình trạng của bạn.
Phương pháp phòng ngừa thoái hóa chất trắng hiệu quả
Cách để phòng ngừa thoái hóa chất trắng là giữ cho bộ não của bạn khỏe mạnh nhất có thể bằng cách ngăn ngừa hoặc kiểm soát huyết áp, đái tháo đường và các yếu tố nguy cơ tim mạch khác. Điều quan trọng nữa là phải tập thể dục thường xuyên, tuân theo chế độ ăn uống lành mạnh, ngủ đủ giấc, không hút thuốc, tham gia giao tiếp xã hội và giảm căng thẳng.

Ngủ đủ 8 tiếng/ngày có thể ngăn ngừa mắc bệnh thoái hóa chất trắng